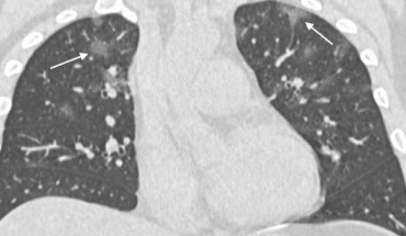
In a retrospective case series, an international team of radiologists has reviewed chest CT scans of 21 symptomatic patients from China infected with the 2019-nCoV coronavirus. Typical CT findings included bilateral pulmonary parenchymal ground-glass and consolidative pulmonary opacities, sometimes with a rounded morphology and a peripheral lung distribution. Notably, lung cavitation, discrete pulmonary nodules, pleural effusions, and lymphadenopathy...
