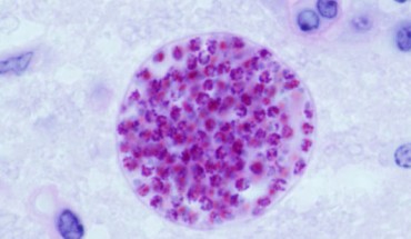
Toxoplasma gondii develops a latent infection in the muscle and central nervous system that acts as a reservoir for acute-stage reactivation in vulnerable patients. Until now little is understood about how these parasites manipulate host cells during latent infection and the impact this has on survival. New research led by the Walter and Eliza Hall Institute of Medical Research, the University of Melbourne and the Wellcome Center for Anti-Infectives...
