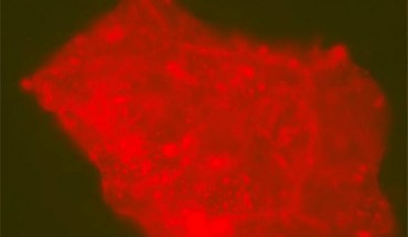
In a new study published in the journal eLife, an international team of paleontologists looked for preserved collagen proteins and DNA in the fossilized bones of a horned dinosaur called Centrosaurus. They didn’t find the proteins or DNA, but they did find unusual communities of modern microbes living inside the dinosaur bones. A fluorescence microscopy image showing lit-up modern microbes that took up residence in a Centrosaurus fossil. Image credit:...
